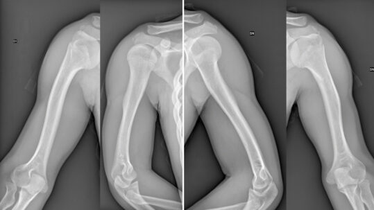
Ipocondroplasia Cure: Allungamento bilaterale delle braccia in bambino
Allungamento bilaterale delle braccia con Ilizarov in bambino con ipocondroplasia: +8 cm e ripresa funzionale completa....
05 Agosto, 2025
Specialista in Ortopedia e Traumatologia, con Metodo Ilizarov e Chiodo Endomidollare Telescopico.
Dal 2016 lavoro presso l’Istituto Clinico Humanitas di Rozzano nel reparto di Traumatologia 2 insieme al Dr. Alexander Kirienko, tra i massimi esperti al mondo della Metodica Ilizarov
Istituto Clinico Humanitas | Rozzano
ME.DI. | Castellammare di Stabia (NA)
MeC | Alghero (SS)
Quality Sport&Rehab | Milano
Nova Clinic | Domagnano (San Marino)
Pubblicazioni Scientifiche
Interventi all'anno
Pazienti
all'anno
Congressi all'anno
Allungamento bilaterale delle braccia con Ilizarov in bambino con ipocondroplasia: +8 cm e ripresa funzionale completa....
05 Agosto, 2025Testimonianza di un allungamento arti con discrepanza di 8,5 cm all’omero dopo trauma infantile risolta con osteotomia e...
23 Luglio, 2025Siamo orgogliosi di annunciare che al Dott. Alexander Kirienko e al nostro team è stata affidata l'organizzazione del Co...
23 Maggio, 2025Contattami per maggiori informazioni sulla tua patologia e i possibili trattamenti.