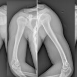
23 Lug Testimonianze Allungamento Arti: Allungamento Omero con Discrepanza 8,5 cm
Un trauma all’età di sei anni ha compromesso la cartilagine di accrescimento dell’omero in un giovane paziente, causando una progressiva discrepanza di 8,5 cm nella lunghezza dell’arto al raggiungimento dell’età adulta. L’evento traumatico, inizialmente trattato come una frattura, ha avuto conseguenze a lungo termine sul normale sviluppo osseo.
Negli anni successivi, il paziente ha manifestato un discomfort crescente nello svolgimento delle attività quotidiane, dovuto all’asimmetria funzionale dell’arto superiore. La valutazione clinica ha evidenziato la necessità di un intervento correttivo per ripristinare la simmetria e migliorare la qualità della vita.
Con il team Kirienko, abbiamo eseguito con successo un’osteotomia dell’omero con applicazione di fissatore esterno tipo Ilizarov. Questo approccio ha permesso di ottenere un allungamento progressivo e controllato dell’osso.
Dopo la completa consolidazione del rigenerato osseo e la successiva rimozione del dispositivo, il paziente ha potuto riprendere le proprie attività senza alcuna alterazione della funzione, con un recupero ottimale sia dal punto di vista anatomico che funzionale.
Guarda le immagini del caso

Chirurgo ortopedico, specialista in Ortopedia e Traumatologia, in particolare per correzione
deformità post-traumatiche e congenite e allungamento arti, metodica di Ilizarov e chiodi telescopici.
Dal 2016 lavora presso l’Istituto Clinico Humanitas di Rozzano nel reparto di Traumatologia 2 insieme al Dr. Alexander Kirienko (responsabile dell’unità e mentore), e al Dr Filippo Vandenbulcke.
Collabora con la società Italian Medical Group per fornire consulenza ortopedica nell’ambito delle patologie trattate sia adulti che pazienti pediatrici nei paesi dell’est Europa, in particolare in Kosovo, Macedonia e Albania.
È membro del consiglio direttivo della Società Italiana di Fissazione Esterna e vanta numerose collaborazioni ed esperienze internazionali:
- 1 anno presso la Columbia University di New York
- Paley Institute West, Palm Beach
- Hospital for Special surgery, New York
Dubbi o domande? Scrivimi su Whatsapp
Contattami per maggiori informazioni sulla tua patologia e i possibili trattamenti.



